手机应用
微信
微博
QQ群
普通登陆
QQ登录
找回密码
注册
登录
好友
帖子
收藏
道具
勋章
任务
搜索
搜索
文章
帖子
用户
影像医生
也能
网上问诊
了
首页
社区
BBS
新闻
读片会
影像图库
锐滴达
医影在线
›
门户
›
影像图库
›
X线病例
›
骨与关节系统
›
查看内容
骨巨细胞瘤
2012-7-16 15:19
|
发布者:
jiajie
|
查看:
6176
|
评论: 0
|
原作者: hying_1864
【结果公布:
http://www.radinet.com ... d.php?tid=82537
】
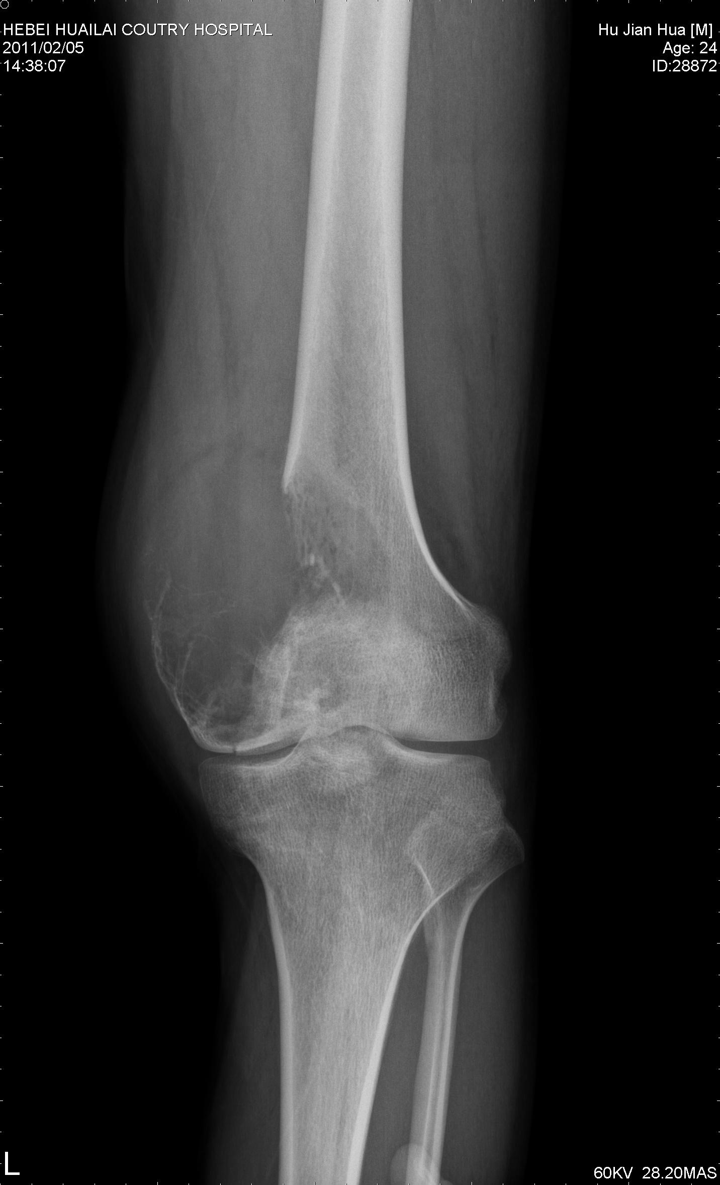
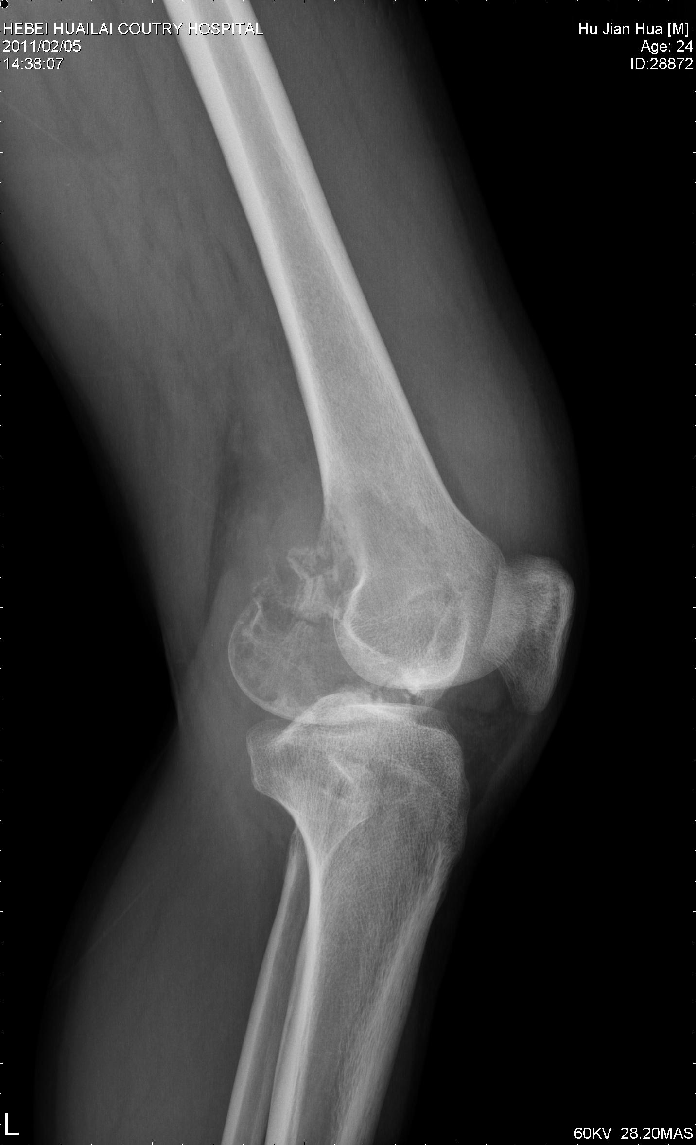
患者24岁,左膝疼痛半年余就诊,拟诊左股骨远骨肉瘤,请各位同仁不吝赐教
病例结果:病人已在301医院接受膝关节置换手术,病理结果为
骨巨细胞瘤
,
鲜花
1
握手
雷人
路过
鸡蛋
刚表态过的朋友 (
1 人
)
zhengwen
收藏
邀请
上一篇:
肱骨转移瘤
下一篇:
致密性成骨不全症
相关分类
呼吸系统
循环系统
骨与关节系统
中枢神经系统
五官
消化系统
泌尿系统
女性生殖系统
介入诊断及治疗
乳腺钼钯
返回顶部