医影在线

搜索

颅咽管瘤

2014-12-24 20:37| 发布者: 翁志蓬| 查看: 536| 评论: 16|原作者: 蒙面小猪|来自: MRI6493

2014年11月首医影像系病例读片会宣武医院专场之病例三
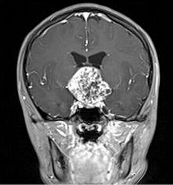
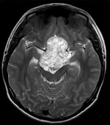
患者:男,15岁,双眼视力下降1年余,近来有嗜睡表现。
查体:无殊。
A、颅咽管瘤
B、脑膜瘤
C、生殖细胞瘤
D、毛细胞星形细胞瘤
E、淋巴瘤


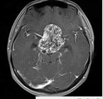
1.jpg
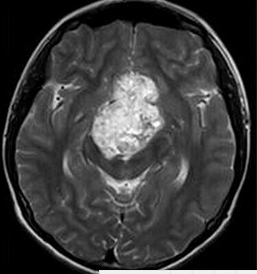
2.jpg
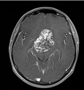
3.jpg
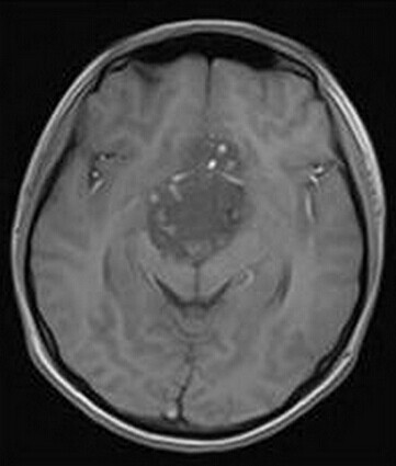
4.jpg
5.jpg
6.jpg
7.jpg
8.jpg

【正确答案】A 颅咽管瘤

【分析思路与鉴别诊断】
根据肿瘤位于鞍区,且呈明显均匀强化,鉴别诊断需要考虑生殖细胞瘤。鉴别要点:
(1)鞍区生殖细胞瘤多见于儿童,女性多见,90%患者出现尿崩症;
(2)T1WI/T2WI上多为等信号,边界相对比较清楚;可见于第三脑室、鞍上、及鞍内,位于第三脑室者多体积较大,出现坏死、囊变,呈明显不均匀强化。
根据肿瘤位于鞍区,且呈明显均匀强化,鉴别诊断还需要考虑鞍区毛细胞型星形细胞瘤。鉴别要点:
(1)多见于青少年;不规则分叶状肿块,边界清楚,体积较大;
(2)增强后明显均匀强化。

【小结】
(1)颅咽管瘤的两个发病高峰年龄分别是4-15岁和35-45岁,其中实性颅咽管瘤多见于成年人,本例为青少年患者,发病年龄无特异性;
(2)对诊断有提示意义的征象是明显强化,内散在微囊状不强化区。

鲜花

握手

雷人

路过

鸡蛋
发表评论

最新评论

引用 摘星空竹子 2014-11-21 23:06
脑膜瘤
引用 枫叶林 2014-11-22 09:46
A、颅咽管瘤
引用 蒙面小猪 2014-11-22 22:53
颅咽管瘤
引用 zzzsssjjj 2014-11-23 10:59
生殖细胞瘤
引用 shibing 2014-11-23 11:16
生殖细胞瘤
引用 黑白影子 2014-11-23 14:33
生殖细胞瘤
引用 田田田 2014-11-23 22:38
生殖细胞瘤
引用 鲁巨CT 2014-11-24 21:36
生殖细胞瘤
引用 sunbin 2014-11-26 17:59
考虑生殖细胞瘤。
引用 dhlyq 2014-11-29 00:19
脑膜瘤
引用 dzhq8766 2014-12-2 21:50
生殖细胞瘤
引用 鲁巨CT 2014-12-6 15:04
生殖细胞瘤
引用 shibing 2014-12-8 14:13
颅咽管瘤
引用 pujunzhi 2014-12-9 10:31
[病理诊断] MRI6493:颅咽管瘤。
引用 雪个 2015-2-15 21:53

[病理诊断] MRI6493:颅咽管瘤。学习了谢谢
引用 zxczxc 2015-9-3 17:56
鞍区占位,1)颅咽管瘤的两个发病高峰年龄分别是4-15岁和35-45岁,其中实性颅咽管瘤多见于成年人,本例为青少年患者,发病年龄无特异性;
(2)对诊断有提示意义的征象是明显强化,内散在微囊状不强化区。
内散在微囊状不强化区。颅咽管瘤。学习了。内散在微囊状不强化区。

查看全部评论(16)

返回顶部