医影在线

搜索

第三脑室脊索样胶质瘤

2014-12-24 20:40| 发布者: 翁志蓬| 查看: 748| 评论: 21|原作者: 蒙面小猪|来自: MRI6492

2014年11月首医影像系病例读片会宣武医院专场之病例二
患者:男,50岁,记忆力下降1月余,双眼视力下降,反应减慢。
查体:无殊。
A、颅咽管瘤
B、脑膜瘤
C、生殖细胞瘤
D、胶质瘤
E、脉络丛乳头状瘤


1.jpg
2.jpg
3.jpg
4.jpg
5.jpg
6.jpg
7.jpg
8.jpg
9.jpg
10.jpg

【正确答案】D 胶质瘤(第三脑室脊索样胶质瘤)

【分析思路与鉴别诊断】
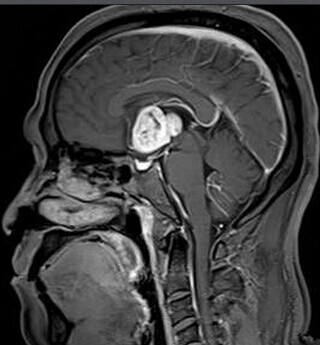
根据肿瘤位于鞍区,且呈明显均匀强化,鉴别诊断需要考虑生殖细胞瘤。鉴别要点:
(1)鞍区生殖细胞瘤多见于儿童,女性多见,90%患者出现尿症;
(2)T1WI/T2WI上多为等信号,边界相对比较清楚;可见于第三脑室、鞍上、及鞍内,位于第三脑室者多体积较大,出现坏死、囊变,呈明显不均匀强化。
根据肿瘤位于鞍区,且呈明显均匀强化,且累及视束,鉴别诊断需要考虑视神经胶质瘤。鉴别要点:
(1)常发生于10岁以内儿童;
(2)视神经呈梭形、管状或球状增粗,边缘清楚;
(3)增强后增粗的视神经呈轻度至明显强化。
根据肿瘤位于鞍区,且呈明显均匀强化,鉴别诊断还需要考虑脑膜瘤。鉴别要点:
(1)肿瘤以鞍结节、前床突、后床突为中心向周围匍行生长,形成特征性的“蕈伞样”外观;
(2)平扫等T1等T2信号;
(3)增强后明显均匀强化,可有脑膜尾征。
根据肿瘤位于鞍区,且呈明显均匀强化,鉴别诊断还需要考虑实性颅咽管瘤。鉴别要点:
(1)肿瘤呈不均匀等T1长T2,形状不规则;
(2)增强后明显不均匀强化,内见微囊状不强化区。
根据肿瘤位于鞍区,且呈明显均匀强化,鉴别诊断还需要考虑鞍区毛细胞型星形细胞瘤。鉴别要点:
(1)多见于青少年;不规则分叶状肿块,边界清楚,体积较大;
(2)增强后明显均匀强化。 

【小结】
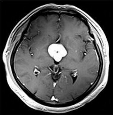
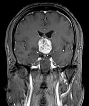
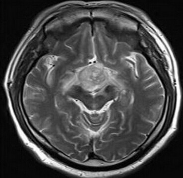
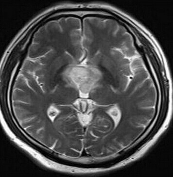
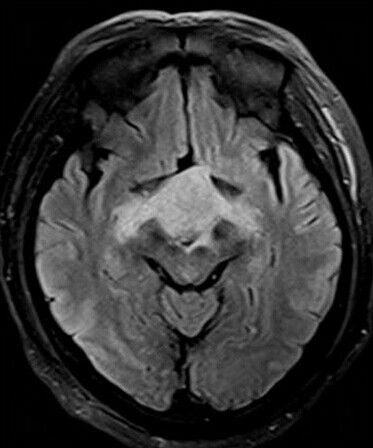
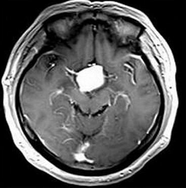
第三脑室脊索样胶质瘤的特征性表现是:
(1)见于成人,边界清楚,位于第三脑室前部;
(2)T1WI上为低信号,T2WI上呈明显高信号;
(3)增强后明显强化;
(4)肿块累及视交叉及下丘脑,但不浸润周围脑实质。

鲜花

握手

雷人

路过

鸡蛋
上一篇:颅咽管瘤下一篇:大脑胶质瘤病
发表评论

最新评论

引用 摘星空竹子 2014-11-21 23:00
脑膜瘤
引用 枫叶林 2014-11-22 09:48
A、颅咽管瘤
引用 蒙面小猪 2014-11-22 22:51
脑膜瘤
引用 shibing 2014-11-23 11:16
脑膜瘤
引用 黑白影子 2014-11-23 14:32
E.脉络丛乳头状瘤
引用 wugenxing 2014-11-23 17:21
颅咽管瘤。1、57岁,颅咽管瘤第二好发年龄;2、病变实性为主,成人颅咽管瘤就是实性多见,3、明显强化也符合。
鉴别:1、生殖细胞瘤首先排除,年龄轻,鞍上以女性多见;2、胶质瘤多见于小儿,多为毛细胞型,强化没那么明显;3、脑膜瘤:年龄符合,但女性多见,平扫信号不符合,与鞍隔部分锐角相交;4、脉络膜乳头状瘤:小儿多见,不规则桑椹状多见,好发于侧脑室三角区。
引用 田田田 2014-11-23 22:43
颅咽管瘤
引用 施明 2014-11-24 08:34
颅咽管瘤可能性大
引用 zzzsssjjj 2014-11-24 09:51
颅咽管瘤
引用 SWEET 2014-11-24 16:33
脑膜瘤
引用 鲁巨CT 2014-11-24 21:26
颅咽管瘤,第二发病高峰颅咽管瘤,大多呈实质性,明显强化。
引用 jiangjing 2014-11-25 21:46
颅咽管瘤
引用 sunbin 2014-11-26 17:07
考虑颅咽管瘤可能性大。
引用 dhlyq 2014-11-29 21:42
颅咽管瘤
引用 doc张 2014-12-1 21:12
E。病变位于三脑室
引用 dzhq8766 2014-12-2 21:53
颅咽管瘤
引用 pujunzhi 2014-12-9 10:29
病理:第三脑室脊索样胶质瘤。
引用 艄公 2015-1-11 10:33

谢谢!!学习了
引用 雪个 2015-2-15 21:58

病理:第三脑室脊索样胶质瘤。学习了谢谢

查看全部评论(21)

返回顶部