医影在线

搜索

大脑胶质瘤病

2014-12-24 20:43| 发布者: 翁志蓬| 查看: 793| 评论: 16|原作者: 蒙面小猪|来自: MRI6491

2014年11月首医影像系病例读片会宣武医院专场之病例一
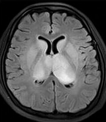
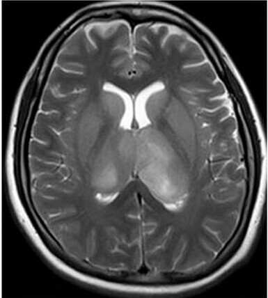
患者:女,23岁,主因嗜睡、言语不利三个月,四肢无力、吞咽障碍3个月入院。
查体:嗜睡,构音障碍,双侧掌颌反射阳性,四肢肌力Ⅳ级
A、脑炎
B、静脉窦血栓形成
C、脑梗死
D、胶质瘤病
E、代谢性脑病


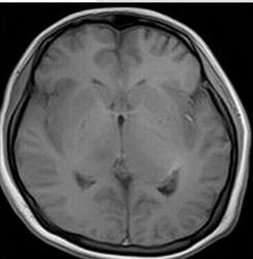
1.jpg
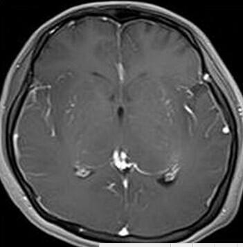
2.jpg
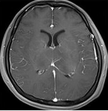
3.jpg
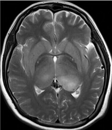
4.jpg
5.jpg
6.jpg
7.jpg
8.jpg

【正确答案】D 大脑胶质瘤病

【分析思路与鉴别诊断】
根据病变同时累及灰白质,且主要发生在颞叶、岛叶的特点,需要与病毒性脑炎鉴别。鉴别要点:
(1)病毒性脑炎可以累及一侧或两侧颞叶、岛叶、额叶、扣带回,但病变多为不对称病变,且病变很少累及深部核团;
(2)DWI上病灶为高信号;
(3)T2WI/FLAIR/DWI上高信号主要见于皮层区,白质相对保留;
(4)早期呈轻度斑片状强化,症状开始后一周可见脑回样强化,偶尔可见脑膜强化。
根据病变同时累及双侧丘脑、基底节,需要与深静脉血栓鉴别。鉴别要点:
(1)CT上可见大脑内静脉高密度影,双侧丘脑低密度影;
(2)MRI上双侧丘脑、基底节、脑干肿胀,不会同时累及双侧颞岛叶;
(3)DWI上早期弥散中度受限,后期恢复;
(4)增强MRI上可见大脑内静脉及直窦的充盈缺损。
根据病变同时累及双侧丘脑、基底节,还需要与基底动脉尖急性缺血性脑梗死鉴别。鉴别要点:
(1)临床上多表现为视觉障碍,眼球运动障碍,视觉失认,幻视;
(2)病变范围包括中脑腹侧、双侧丘脑、PCA分布区;
(3)典型MRI表现DWI上高信号,ADC值低信号;
根据病变同时累及双侧丘脑、基底节,代谢性脑病鉴别。本病例灰白质同时受累,同时累及脑叶、基底节及丘脑,且有轻度占位效应,需要考虑的先天性代谢性脑病有肝豆状核变性,鉴别要点:
(1)肝豆状核变性的特征性表现为壳核、尾状核、丘脑、苍白球对称性T2高信号;
(2)T2WI中脑水平轴位切面上特征性的“熊猫脸”征。
后天性代谢性脑病主要考虑成人高血糖,鉴别要点:
(1)成人糖尿病患者,使用胰岛素发生卒中或昏迷;
(2)常见部位顶/颞/枕叶、海马、杏仁核、严重者可累及苍白球、纹状体;
(3)通常不累及白质。

【小结】
大脑胶质瘤病的特征性影像学表现是:
(1)肿瘤常累及2-3个脑叶,白质改变为主,占位效应不明显或轻度占位效应;
(2)病变区大脑结构相对保留;
(3)增强后多无强化。

鲜花

握手

雷人

路过

鸡蛋
发表评论

最新评论

引用 摘星空竹子 2014-11-21 22:56
考虑代谢性脑病
引用 枫叶林 2014-11-22 09:54
A、脑炎
引用 蒙面小猪 2014-11-22 22:50
考虑代谢性脑病
引用 shibing 2014-11-23 11:17
代谢性脑病
引用 黑白影子 2014-11-23 14:28
E.代谢性疾病
引用 施明 2014-11-24 08:32
不知道是哪种代谢病
引用 sunbin 2014-11-26 18:11
考虑代谢性脑病。
引用 dhlyq 2014-11-29 00:01
考虑代谢性脑病
引用 dzhq8766 2014-12-2 21:55
代谢性疾病
引用 曼一拍 2014-12-4 19:56
欠对称性,无强化,无明显占位,脑炎吧。
引用 鲁巨CT 2014-12-6 14:58
双侧丘脑基底节对称性长T1WI长T2WI异常信号,flair高信号,脑组织清淡肿胀,1.颞叶未见异常,一般脑炎易颞叶受累,首先不考虑炎症;2.静脉窦血栓,双侧应该双侧髓静脉会合后的大脑大静脉,如果血栓,硬牵连到部分胼胝体,似乎看到大脑大静脉血管流空,不像血栓形成;3.肿瘤更不像,肿瘤生长不会跨过白质只生长在灰质;4.代谢性疾病,大多对称性,太多,没有特异性,很难说出是那种。首先考虑代谢疾病
引用 shibing 2014-12-8 14:15
脑胶质瘤病
引用 pujunzhi 2014-12-9 10:15
支持 大脑胶质瘤病。
引用 雪个 2015-2-15 22:07

支持 大脑胶质瘤病。
引用 zxczxc 2015-9-1 10:32
双侧丘脑基底节对称性长T1WI长T2WI异常信号,flair高信号,脑组织清淡肿胀,1.颞叶未见异常,一般脑炎易颞叶受累,首先不考虑炎症;2.静脉窦血栓,双侧应该双侧髓静脉会合后的大脑大静脉,如果血栓,硬牵连到部分胼胝体,似乎看到大脑大静脉血管流空,不像血栓形成;3.肿瘤更不像,肿瘤生长不会跨过白质只生长在灰质;4.代谢性疾病,大多对称性,太多,没有特异性,很难说出是那种。
    大脑胶质瘤病,学习了。
引用 zzyy 2015-10-9 15:38
大脑胶质瘤病的特征性影像学表现是:
(1)肿瘤常累及2-3个脑叶,白质改变为主,占位效应不明显或轻度占位效应;
(2)病变区大脑结构相对保留;
(3)增强后多无强化。

查看全部评论(16)

返回顶部