医影在线

搜索

肝母细胞瘤

2014-12-26 18:12| 发布者: 翁志蓬| 查看: 553| 评论: 10|原作者: 首都儿科研究所附属儿童医院|来自: PED5033

第201410期儿研所病例讨论之六
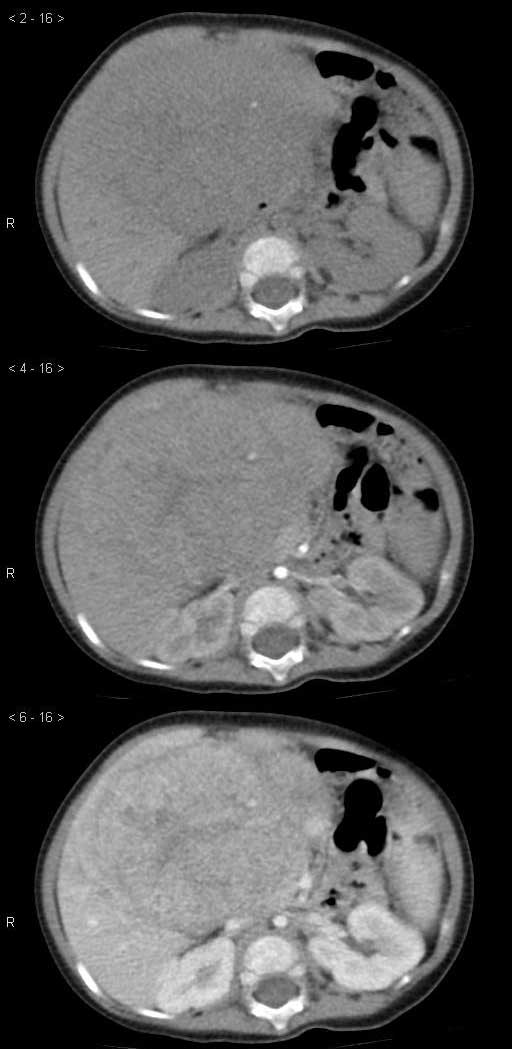
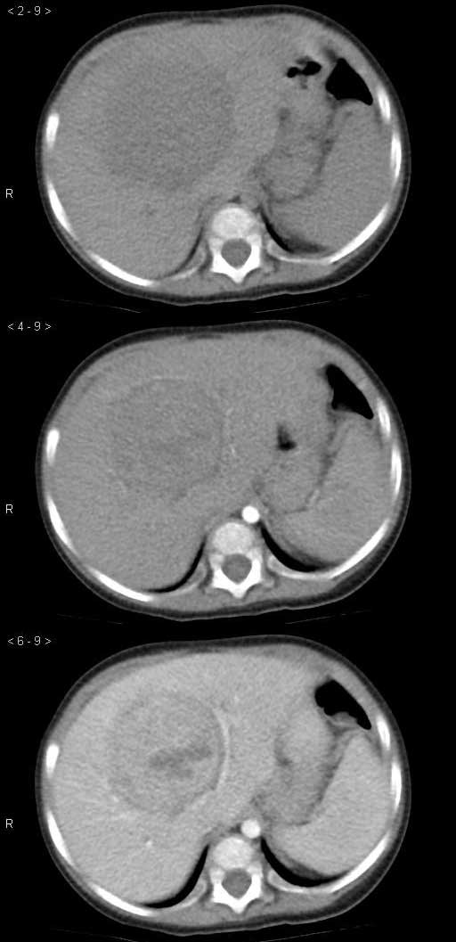
男孩,7个月,因呕吐1个月就诊,超声提示肝脏占位。
患儿一般情况可,全身皮肤无黄染,腹平软,无压痛、反跳痛及肌紧张。
实验室检查:AFP明显升高。
a01.jpg
a02.jpg

诊断:肝母细胞瘤

【儿研所 点评】
概述
肝母细胞瘤是小儿最常见的肝脏恶性肿瘤,占小儿肝脏恶性肿瘤的90%,发病年龄0.08-8.74岁,(中位年龄1岁),好发于5岁以内,90%发生于3岁以前。
本病是一种具有多种分化方式的恶性胚胎性肿瘤。它是由类似于胎儿性上皮性肝细胞、胚胎性细胞以及分化的间叶成分组成。大部分的肝母细胞瘤为单发。
临床表现
早期一般无症状,约10%为家长无意中发现腹部肿块为首发症状,随病情发展,常见以消化道为主的临床表现,如体重降低、食欲不振,可有恶心、呕吐以及腹痛。少数病例可见黄疸。罕见情况下肿瘤细胞分泌HCG,导致青春期早熟、出现阴 毛、生 殖器增大以及声音变粗,多发生于男孩。
实验室检查
1.血小板增高,红细胞数减少。
2.血AFP升高。AFP水平与疾病过程平行,当肿瘤完全切除时,AFP降至正常而随病变复发,AFP水平可再度升高。
影像学CT表现
肝内单发占位,50%病例有钙化灶,病变边界清楚,增强扫描不均匀强化,内部可见无强化坏死区。
治疗及预后
治疗以手术切除为首选。手术切除是否彻底与预后直接相关,观察AFP水平对手术和化疗的反应可以预测疾病的预后。

鲜花

握手

雷人

路过

鸡蛋
发表评论

最新评论

引用 摘星空竹子 2014-11-7 15:19
考虑肝母细胞瘤
引用 shibing 2014-11-7 15:34
肝母细胞瘤
引用 2014-11-7 16:47
考虑肝母细胞瘤
引用 九目段 2014-11-7 16:49
肝母细胞瘤
引用 程军建 2014-11-7 17:18
同意楼上观点!
引用 枫叶林 2014-11-7 19:07
考虑肝母细胞瘤
引用 影像之剑 2014-11-7 23:01
考虑肝母细胞瘤。
引用 sunbin 2014-11-8 09:16
肝右叶可见巨大低密度占位,边缘欠光整,动脉期,肿块周边结节强化,内见分隔及条片状低密度影,门脉期,分隔进一步强化,肿块密度低于肝实质,考虑肝母细胞瘤可能性大。
引用 田田田 2014-11-9 18:56
肝母细胞瘤。
引用 pujunzhi 2015-1-20 11:05
诊断:肝母细胞瘤
概述:
肝母细胞瘤是小儿最常见的肝脏恶性肿瘤,占小儿肝脏恶性肿瘤的90%,发病年龄0.08-8.74岁,(中位年龄1岁),好发于5岁以内,90%发生于3岁以前。
本病是一种具有多种分化方式的恶性胚胎性肿瘤。它是由类似于胎儿性上皮性肝细胞、胚胎性细胞以及分化的间叶成分组成。大部分的肝母细胞瘤为单发。
临床表现
早期一般无症状,约10%为家长无意中发现腹部肿块为首发症状,随病情发展,常见以消化道为主的临床表现,如体重降低、食欲不振,可有恶心、呕吐以及腹痛。少数病例可见黄疸。罕见情况下肿瘤细胞分泌HCG,导致青春期早熟、出现阴 毛、生 殖器增大以及声音变粗,多发生于男孩。
实验室检查
1.血小板增高,红细胞数减少。
2.血AFP升高。AFP水平与疾病过程平行,当肿瘤完全切除时,AFP降至正常而随病变复发,AFP水平可再度升高。
影像学CT表现:
肝内单发占位,50%病例有钙化灶,病变边界清楚,增强扫描不均匀强化,内部可见无强化坏死区。
治疗及预后
治疗以手术切除为首选。手术切除是否彻底与预后直接相关,观察AFP水平对手术和化疗的反应可以预测疾病的预后。

查看全部评论(10)

返回顶部