医影在线

搜索

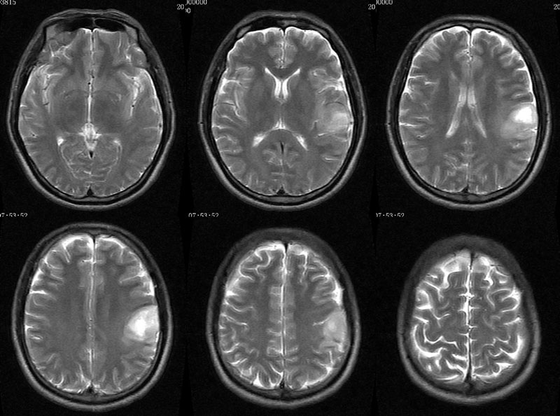
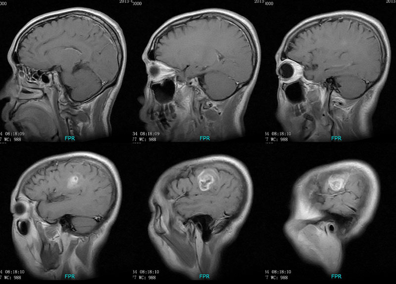
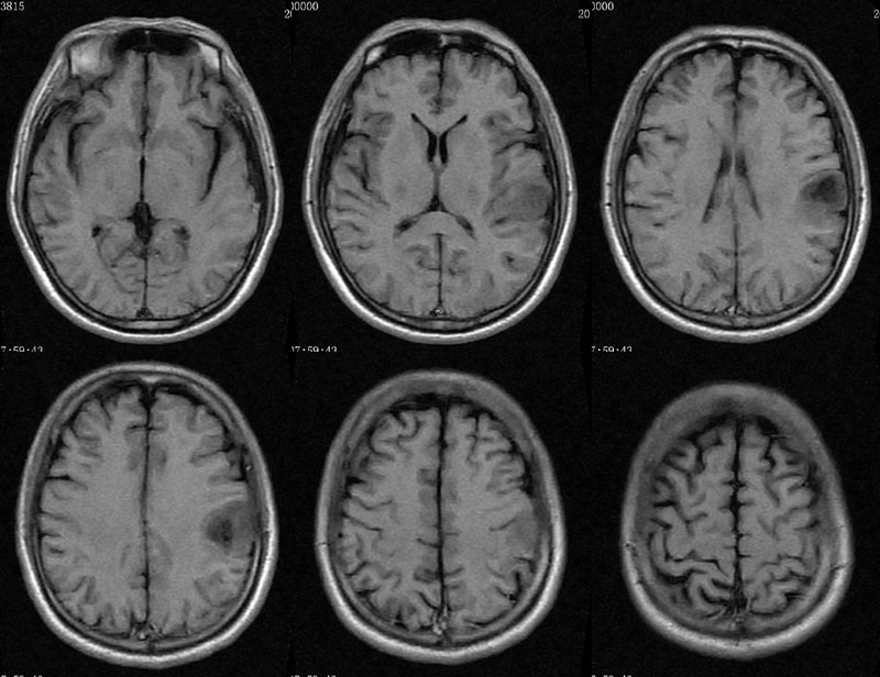
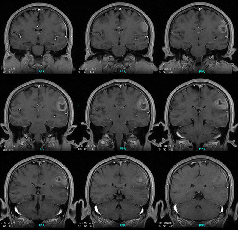
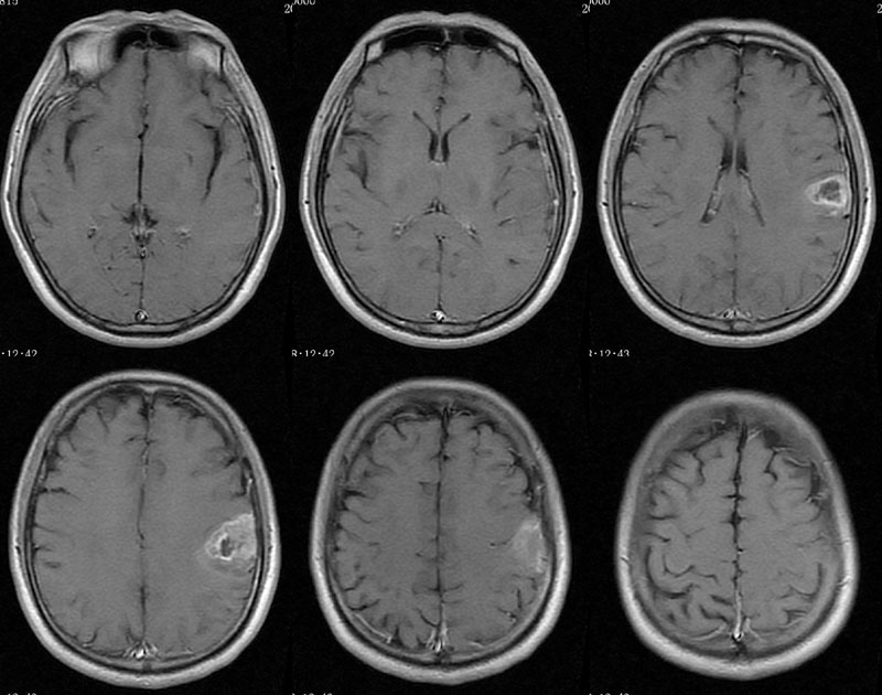
多形性胶质母细胞瘤(额叶)

2014-12-27 13:43| 发布者: 翁志蓬| 查看: 386| 评论: 11|原作者: 翁志蓬|来自: MRI6451

男性,46岁。
主诉:头晕、头痛2月余,加重10天。
现病史:患者2月余前出现头晕,呈天旋地转,阵发性,伴头痛,多于下午发作,伴右侧口角麻木。近10天患者自觉头晕头痛症状加重。
a01.jpg
a02.jpg
a03.jpg
a04.jpg
a05.jpg
a06.jpg

患者在外院手术。
术后病理多形性胶质母细胞瘤 WHO Ⅳ级。
免疫组化:Vimentin(+),GFAP (+),MGMT个别(+),P53约10%(+),Ki67约20%。

鲜花

握手

雷人

路过

鸡蛋
发表评论

最新评论

引用 shibing 2014-8-30 22:31
感染
引用 chenjianwei 2014-8-31 16:30
胶质母细胞瘤,并侵犯硬脑膜。
引用 卜一 2014-8-31 20:00
炎性肉芽肿?
引用 dj19760805 2014-8-31 20:25
引用第2楼chenjianwei于2014-08-31 16:30发表的 :
胶质母细胞瘤,并侵犯硬脑膜。

腔内有条索状强化,脓腔应该没有
引用 田田田 2014-8-31 22:11
左颞叶胶质瘤,建设议做MRS
引用 影象王 2014-9-1 08:42
考虑胶质瘤可能;中心坏死表现,病变强化比较明显,可以考虑做MRS进一步检查。
引用 施明 2014-9-1 08:48
胶质瘤
引用 枫叶林 2014-9-1 10:11
考虑炎性肉芽肿病变可能性大。
CT平扫呈环形稍高密度,MRI呈长T1长T2,信号稍欠均匀,增强扫呈不规则环形强化,邻近脑膜增厚并明显强化。
需要与室管膜瘤相鉴别,脑实质内室管膜瘤很少出现脑膜的强化,钙化较常见。
其次是与转移瘤和淋巴瘤相鉴别。转移瘤常位于灰白质交界区,水肿显著,淋巴瘤常位于中线、基底节、或灰白质交界区,治疗前坏死不常见
引用 pujunzhi 2014-9-17 17:23
考虑 左侧额叶胶质瘤可能性大,不除外不典型的脑膜瘤。
引用 pujunzhi 2014-10-1 08:11
[病理诊断] MRI6451:多形性胶质母细胞瘤!
引用 zxczxc 2015-8-26 17:03
左侧顶叶斑片状异常信号,T1低信号,T2高信号,增强后不均匀强化。左侧顶叶多形性胶质母细胞瘤,学习了。

查看全部评论(11)

返回顶部