医影在线

搜索

多发尤文氏肉瘤(PNET)

2014-12-31 21:39| 发布者: 翁志蓬| 查看: 923| 评论: 9|原作者: 卫生部北京医院放射科 陈涓|来自: MRI6255

第二十期三博读片会病例之七
卫生部北京医院放射科 陈涓 提供
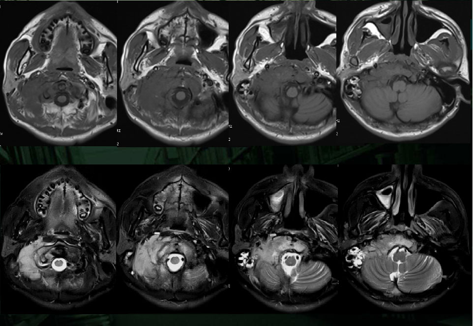
男性,20岁。
颈部疼痛2月,腰部臀部疼痛1月。

200701.jpg
200702.jpg
200703.jpg
200704.jpg
200706.jpg
200707.jpg

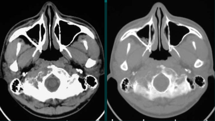
前臂肿物活检,病理报告:小圆细胞恶性肿瘤,免疫组化考虑为PNET/尤文氏肉瘤

【卫生部北京医院放射科 陈涓 点评】
Primitive neuroectodermal tumor (PNET) , a subtype of the family of small round cell malignancies with neuroectodermal origin, was first described in 1918 by Stout.
This highly malignant tumor can further be divided into central PNET (cPNET) and peripheral PNET (pPNET). The PNET
Peripheral PNET occurs outside the central and sympathetic nervous system, often occurs in the thoracopulmonary region (Askin tumor),retroperitonium, and extremities and rarely in the head and neck.
Recent studies showed that pPNET and ES have
many similarities in histomorphology,
immunohistochemistry, and molecular biology. They
are grouped as the ES/PNET family and are difficult
to distinguish from each.
Peripheral PNET mainly affects children and adolescents and rarely adults.
female/ male predominance?
Patients often presented with rapidly enlarging masses.
The imaging features of pPNET of the head and neck
are nonspecific.
In pPNET patients with tumors originating from soft tissues, the tumors often demonstrated ill-defined,soft tissue masses and exhibited aggressive spreading to the neighboring tissue.
The tumor often demonstrated isodensity with patchyhypodensity areas on unenhanced CT images.
On T1WI, the tumor demonstrated isointensity or slightly hypointensity; on T2WI, the tumor demonstrated heterogeneous hyperintensity.
The tumor demonstrated heterogeneous enhancement on contrast-enhanced CT/T1WI.
Calcification is rare.
Cystic necrotic component and haemorrhagic change are usually obvious.
Poor prognosis. The overall 5-year survival rates for localized and metastatic tumours range from 65% to 74% and 25% to 45%, respectively.
b200701.jpg
b200702.jpg

鲜花

握手

雷人

路过

鸡蛋
发表评论

最新评论

引用 bin917 2014-1-26 21:27
嗜酸性肉芽肿
引用 xiongneo 2014-1-26 22:01
脊索瘤?
引用 GAOSHENGJIANG 2014-1-27 09:50
病变分布广泛,骨质有侵蚀破坏,个别椎体变扁,上颌窦有炎性改变,符合炎性肉芽肿改变。
引用 施明 2014-1-29 08:34
转移瘤
引用 难听 2014-1-31 19:48
伴有颈部多发淋巴结增大,考虑白血病可能,淋巴瘤待排。
引用 翁志蓬 2014-2-3 20:34
前臂肿物活检,病理报告:小圆细胞恶性肿瘤,免疫组化考虑为PNET/尤文氏肉瘤

【点评】
Primitive neuroectodermal tumor (PNET) , a subtype of the family of small round cell malignancies with neuroectodermal origin, was first described in 1918 by Stout.
This highly malignant tumor can further be divided into central PNET (cPNET) and peripheral PNET (pPNET). The PNET
Peripheral PNET occurs outside the central and sympathetic nervous system, often occurs in the thoracopulmonary region (Askin tumor),retroperitonium, and extremities and rarely in the head and neck.
Recent studies showed that pPNET and ES have
many similarities in histomorphology,
immunohistochemistry, and molecular biology. They
are grouped as the ES/PNET family and are difficult
to distinguish from each.
Peripheral PNET mainly affects children and adolescents and rarely adults.
female/ male predominance?
Patients often presented with rapidly enlarging masses.
The imaging features of pPNET of the head and neck
are nonspecific.
In pPNET patients with tumors originating from soft tissues, the tumors often demonstrated ill-defined,soft tissue masses and exhibited aggressive spreading to the neighboring tissue.
The tumor often demonstrated isodensity with patchyhypodensity areas on unenhanced CT images.
On T1WI, the tumor demonstrated isointensity or slightly hypointensity; on T2WI, the tumor demonstrated heterogeneous hyperintensity.
The tumor demonstrated heterogeneous enhancement on contrast-enhanced CT/T1WI.
Calcification is rare.
Cystic necrotic component and haemorrhagic change are usually obvious.
Poor prognosis. The overall 5-year survival rates for localized and metastatic tumours range from 65% to 74% and 25% to 45%, respectively.
引用 shibing 2014-2-4 01:43
小圆细胞恶性肿瘤,
引用 pujunzhi 2014-2-4 10:40
前臂肿物活检,病理报告:小圆细胞恶性肿瘤,免疫组化考虑为PNET/尤文氏肉瘤。
好病例,谢谢翁总的精彩点评!
引用 拾荒者 2014-3-20 21:51
谢谢!要是点评用汉语就更好了!

查看全部评论(9)

返回顶部