医影在线

搜索

系统性红斑狼疮脑病

2014-12-31 21:42| 发布者: 翁志蓬| 查看: 752| 评论: 7|原作者: 首都儿科研究所附属儿童医院放射科|来自: MRI6257

第二十期三博读片会病例之九
首都儿科研究所附属儿童医院放射科 提供
女,9岁
主诉:发现血小板减少6月余,皮疹3月余,近一周抽搐4次。
体格检查:面部对称分布的充血性皮疹,压之褪色,皮肤
表面无破溃,无皮温升高。
实验室检查:PLT 31~63×109/L (100~300×109/L)
血清总IgE>200U/ml (10~100U/ml)
自身抗体:ANA 1:1000 SSA(+)、SSB(+++)、Ro-52(+++)、脑脊液蛋白(++)

200901.jpg
200902.jpg

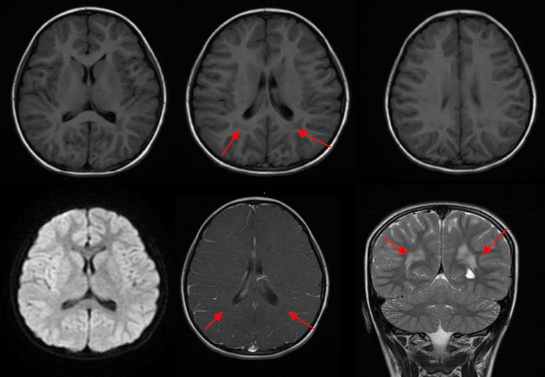
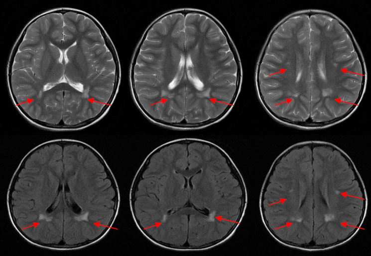
诊断:系统性红斑狼疮脑病

首都儿科研究所附属儿童医院放射科 点评】
诊断依据:
临床确诊为儿童系统性红斑狼疮
患儿出现神经系统症状(抽搐)并伴有脑脊液异常
MRI表现为侧脑室旁对称性的异常信号灶,增强后可见斑点状轻度强化。
病理:SLE累及各级动脉表现为脑血管迂曲,血管玻璃样变性,内皮细胞增生,血管周围胶质增生和渗出。表现为脑梗死、脑出血、脱髓鞘改变、脑萎缩等。
MRI表现:
1)弥漫型:大脑半球、基底节区、丘脑及小脑半球实质内斑片状、斑点状等或长T1、长T2信号灶,周围可见水肿或无明显水肿,病变可累及灰白质。增强后呈斑片状、斑点状、脑回状轻-中度强化。
2)局灶型:单发局限性上述信号灶。
一半患者出现神经系统症状可先于或同步于SLE的诊断,因此,首次神经影像检查时可能尚不知SLE的诊断(如本病例)。
SLE治疗中常伴有可逆性后部脑病综合征,因此在皮层和皮层下,特别是顶枕叶皮层下出现病灶时不易区别。
SLEE的脑内改变没有特异性,需结合临床症状和实验室检查诊断。

鲜花

握手

雷人

路过

鸡蛋
发表评论

最新评论

引用 施明 2014-1-29 08:39
脑白质营养不良病变
引用 宋糖 2014-1-29 21:46
支持
引用 翁志蓬 2014-2-3 20:38
诊断:系统性红斑狼疮脑病

【点评】
诊断依据:
临床确诊为儿童系统性红斑狼疮
患儿出现神经系统症状(抽搐)并伴有脑脊液异常
MRI表现为侧脑室旁对称性的异常信号灶,增强后可见斑点状轻度强化。
病理:SLE累及各级动脉表现为脑血管迂曲,血管玻璃样变性,内皮细胞增生,血管周围胶质增生和渗出。表现为脑梗死、脑出血、脱髓鞘改变、脑萎缩等。
MRI表现:
1)弥漫型:大脑半球、基底节区、丘脑及小脑半球实质内斑片状、斑点状等或长T1、长T2信号灶,周围可见水肿或无明显水肿,病变可累及灰白质。增强后呈斑片状、斑点状、脑回状轻-中度强化。
2)局灶型:单发局限性上述信号灶。
一半患者出现神经系统症状可先于或同步于SLE的诊断,因此,首次神经影像检查时可能尚不知SLE的诊断(如本病例)。
SLE治疗中常伴有可逆性后部脑病综合征,因此在皮层和皮层下,特别是顶枕叶皮层下出现病灶时不易区别。
SLEE的脑内改变没有特异性,需结合临床症状和实验室检查诊断。
引用 shibing 2014-2-4 01:43
系统性红斑狼疮脑病
引用 pujunzhi 2014-2-4 17:01
诊断:系统性红斑狼疮脑病。
谢谢翁版主!
引用 shigy2009 2014-2-20 22:48
谢谢版主精彩的点评,学习啦
引用 liaizhi 2014-3-23 22:11
少见病例,学习了。

查看全部评论(7)

返回顶部