医影在线

搜索

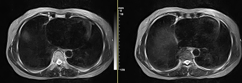
神经鞘瘤(胸壁)

2015-1-3 16:24| 发布者: 翁志蓬| 查看: 1963| 评论: 13|原作者: liyf|来自: MRI3751

女,49岁。三年前因胸部不适在外院行CT检查诊断报告:右胸壁占位病变,考虑胸膜间皮瘤可能性大。现病人到我院检查了解情况。算是较典型的病变吧?大家看看MR比CT优点在哪里?
10.jpg
01.jpg
02.jpg
03.jpg
04.jpg
05.jpg
06.jpg
07.jpg
08.jpg
09.jpg

病检神经鞘瘤

鲜花

握手

雷人

路过

鸡蛋
上一篇:食管裂孔疝
发表评论

最新评论

引用 BMW011 2011-4-16 22:19
软组织当然是MR,但目前肺组织还是CT,以后不敢说。。。。。
引用 zzyy 2011-4-17 00:32
核磁图像定位更准确,对肿瘤成分的判断又近了一步。这病人是间皮瘤吗、是否做过病检?
引用 ljj8935 2011-4-17 17:59
这病人是间皮瘤吗、是否做过病检?
引用 柯建生 2011-4-17 20:36
各有千秋
引用 liyf 2011-4-18 08:37
病检是神经鞘瘤。
引用 巩宁 2011-4-18 08:49
支持
引用 pujunzhi 2011-4-18 09:50
病检是神经鞘瘤。学习了!
引用 施明 2011-4-18 10:37
不是间皮瘤吧 囊性病变还是mr好
引用 刘阿赵 2011-4-18 12:51
胸膜腔多囊性占位,考虑:多子囊性包虫。
引用 fumaogui 2011-4-18 14:27
液性信号符合神经鞘瘤囊变。
引用 王多贵 2011-4-19 06:12
引用 zyx168 2011-4-20 11:57
神经鞘瘤。学习了!
引用 caobaoguo 2011-4-20 21:35
引用第7楼pujunzhi于2011-04-18 09:50发表的  :
病检是神经鞘瘤。学习了!

查看全部评论(13)

返回顶部