医影在线

搜索

子宫恶性中胚叶混合瘤(癌肉瘤)

2015-1-9 23:33| 发布者: 翁志蓬| 查看: 1129| 评论: 14|原作者: 无知|来自: MRI3445

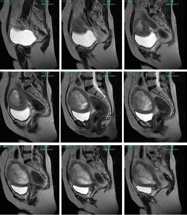
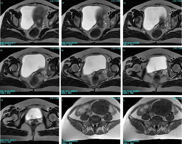
女性患者,52岁,月经量大,间断下腹痛一年余。多考虑:1:子宫前壁肌瘤。2:子宫内膜癌可能性大。已取活检,病理结果过几天出来。各位高手先讨论讨论。


术后病理结果出来啦!



鲜花

握手

雷人

路过

鸡蛋
上一篇:子宫肌瘤(阔韧带)下一篇:宫外孕
发表评论

最新评论

引用 yxwsd 2010-11-30 14:31
子宫内膜太厚,结合带不完整,考虑内膜癌,建议刮宫病检。
引用 liyf 2010-11-30 19:56
子宫内膜癌.
引用 施明 2010-12-1 08:01
癌?
引用 panyishengct 2010-12-1 08:56
宫内膜太厚,结合带不完整,考虑内膜癌,建议刮宫病检。
引用 pujunzhi 2010-12-1 14:29
子宫内膜太厚,结合带不完整,考虑内膜癌,建议刮宫病检。
支持!
引用 gs-cds 2010-12-1 20:06
支持子宫内膜癌。
引用 119845017 2010-12-1 22:33
子宫体癌可能性大
引用 卜一 2010-12-2 14:42
子宫内膜太厚,结合带不完整,考虑内膜癌,建议刮宫病检。支持!
引用 xjc2065 2010-12-3 21:56
子宫内膜太厚,结合带不完整,考虑内膜癌,建议刮宫病检。
引用 445956514 2010-12-4 08:09
子宫内膜太厚,结合带不完整,考虑内膜癌,建议刮宫病检。支持!
引用 basda 2010-12-4 12:06
大家意见一致
引用 学医 2010-12-5 09:49
子宫内膜太厚,结合带不完整,考虑内膜癌,建议刮宫病检。
引用 无知 2010-12-23 15:54
术后病理结果出来啦!
引用 pujunzhi 2013-12-26 17:05
好病例,学习了!感谢楼主反馈病理结果!

查看全部评论(14)

返回顶部