医影在线

搜索

颅内恶性间叶肿瘤(软骨肉瘤+平滑肌肉瘤)

2015-2-5 21:33| 发布者: 翁志蓬| 查看: 1614| 评论: 20|原作者: sxlcbc|来自: MRI2174

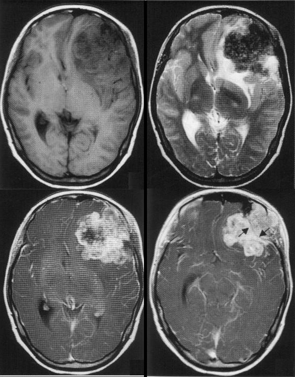
女,16岁。因反复头痛5个月,癫痫发作1次,并发现左侧额部一肿块突出1个月就诊。


这是一个罕见的恶性间叶肿瘤,主要由软骨肉瘤,平滑肌肉瘤构成,所以诊断起来难度较大。大体病理为额骨外侧眶板一菜花样肿瘤,大小约2.5 cm×2.0 cm,质硬,边界不清。此处硬脑膜未破。剪开硬膜后,额颞交界见裸露菜花样肿瘤,直径约5cm。边界清,将肿瘤全部游离切除,见左侧脑室颞角外侧壁完整,脑搏动正常,无肿瘤残余。不过由于我们前些日子刚刚分析过一例肝脏平滑肌瘤,如果考虑到那一例病变,也许会对本里有所帮助。
【sxlcbc 点评】
    颅内原发性平滑肌肉瘤极为罕见,属于脑膜间质,非脑膜上皮细胞肿瘤,为新增的一类肿瘤。其诊断主要靠免疫组织化学,sm-actin表达均为阳性。影像学表现:常呈较大软组织肿块,边界大多清楚.部分呈浸润生长者,边界不清,其内mri信号不均,多有囊变、坏死,偶有出血、钙化;增强后常可有边缘性环状强化。本例病变平滑肌肉瘤部分与正常脑组织分界亦较清楚,边缘仅有轻度水肿,肿瘤信号不均,增强后呈明显不均匀强化,内可见片状无强化区。考虑为肿瘤坏死所致。
    原发于颅内间叶性软骨肉瘤亦相当少见,是一种缓慢生长的局部侵犯性肿瘤,好发于颅底,易于压迫和侵犯穿行于颅底的颅神经。颅骨软骨肉瘤生长缓慢,初期症状不明显,故体积常较大,主要向颅内生长,可压迫、推移或浸润邻近脑结构,mr t1wi上呈低、等信号;透明软骨型t2wi上为高信号,但如果含有较多的矿物质则为低信号,无论那种软骨肿瘤中央常为低信号,增强后肿瘤呈不均一强化,较一般脑内实质性肿瘤强化显著。本例中软骨肉瘤部分亦位于前颅窝底,t1wi呈等低混杂信号,t2 wi亦呈低信号,增强后呈中度不均匀强化。
    颅内原发性平滑肌肉瘤及原发软骨肉瘤均为罕见肿瘤,需要鉴别的有恶性脑膜瘤,恶性脑膜瘤亦表现为信号不均匀、不均匀强化、囊变、坏死、肿瘤外形不规则,但常有明显的瘤周水肿。另外需要注意的是,仔细观察在个别层面可以看到两种不同成分肿瘤间有一线样低信号分隔,及分隔线内外强化模式不同,此时也应想到两种肿瘤共存的可能性。与多数脑膜来源的恶性肿瘤一样,虽然mr检查特征性改变较少,但可以确定肿瘤的发病部位、大小、范围、生长方式、与周围结构的关系,对确定肿瘤的良恶性,以及有无远处转移、局部浸润等很有价值,对肿瘤治疗方案的制定亦有一定的指导意义。
1

鲜花
1

握手

雷人

路过

鸡蛋

刚表态过的朋友 (2 人)

上一篇:脑结核下一篇:脑出血(岛叶)
发表评论

最新评论

引用 随光逐影 2009-5-19 00:41
左侧额叶胶质瘤合并左侧额区脑膜瘤?
引用 jiangjing 2009-5-19 01:13
考虑  恶性脑膜瘤或血管内皮细胞瘤
引用 余辉 2009-5-19 01:18
菜花状肿块,t1呈稍低信号,t2呈盐胡椒相低高混杂信号,以你信号为主.病灶增强有显著强化,病体边界清楚,瘤周有水肿,左侧额骨受侵膨胀,病灶亦有显著强化,考虑1脑膜血管外皮细胞瘤伴骨转移2脑膜瘤伴骨转移
引用 郭凯 2009-5-19 03:14
左侧额部菜花状肿块,t1呈稍低信号,t2呈低信号,信号欠均匀.
病灶增强有显著不均匀强化,病体边界清楚,瘤周有水肿,左侧额骨受侵膨胀,病灶亦有显著强化
考虑恶性脑膜瘤伴颅骨侵犯。
引用 pujunzhi 2009-5-19 04:37
考虑恶性脑膜瘤或血管外皮细胞瘤。

[本贴已被 pujunzhi 于 2009-5-18 20:44:26 修改过]
引用 晓杰 2009-5-19 07:41
左侧额部菜花状肿块,t1呈稍低信号,t2呈低信号,信号欠均匀.
病灶增强有显著不均匀强化,病体边界清楚,瘤周有水肿,左侧额骨受侵膨胀,病灶亦有显著强化
考虑恶性脑膜瘤伴颅骨侵犯。
引用 guanaishengming 2009-5-19 12:25
考虑恶性脑膜瘤伴颅骨侵犯
引用 chinanyd 2009-5-19 15:11
支持与老师的意见
引用 影像孺子牛 2009-5-20 00:37
1、ct征象:首先定位于左侧额部脑外不规则形占位病变,呈菜花状,病变在t1呈稍低信号,t2呈低信号,信号欠均匀,且与脑膜呈广基底接触,并见脑膜尾征;病灶增强呈显著不均匀强化,病变边界清楚,瘤周有水肿,病变处额骨受侵膨胀、破坏。
2、诊断:首先考虑恶性脑膜瘤并局部颅骨侵犯。
3、需与血管外皮细胞瘤鉴别。
引用 sxlcbc 2009-5-20 00:57
这是一个罕见的恶性间叶肿瘤,主要由软骨肉瘤,平滑肌肉瘤构成,所以诊断起来难度较大。大体病理为额骨外侧眶板一菜花样肿瘤,大小约2.5 cm×2.0 cm,质硬,边界不清。此处硬脑膜未破。剪开硬膜后,额颞交界见裸露菜花样肿瘤,直径约5cm。边界清,将肿瘤全部游离切除,见左侧脑室颞角外侧壁完整,脑搏动正常,无肿瘤残余。不过由于我们前些日子刚刚分析过一例肝脏平滑肌瘤,如果考虑到那一例病变,也许会对本里有所帮助。
    颅内原发性平滑肌肉瘤极为罕见,属于脑膜间质,非脑膜上皮细胞肿瘤,为新增的一类肿瘤。其诊断主要靠免疫组织化学,sm-actin表达均为阳性。影像学表现:常呈较大软组织肿块,边界大多清楚.部分呈浸润生长者,边界不清,其内mri信号不均,多有囊变、坏死,偶有出血、钙化;增强后常可有边缘性环状强化。本例病变平滑肌肉瘤部分与正常脑组织分界亦较清楚,边缘仅有轻度水肿,肿瘤信号不均,增强后呈明显不均匀强化,内可见片状无强化区。考虑为肿瘤坏死所致。
    原发于颅内间叶性软骨肉瘤亦相当少见,是一种缓慢生长的局部侵犯性肿瘤,好发于颅底,易于压迫和侵犯穿行于颅底的颅神经。颅骨软骨肉瘤生长缓慢,初期症状不明显,故体积常较大,主要向颅内生长,可压迫、推移或浸润邻近脑结构,mr t1wi上呈低、等信号;透明软骨型t2wi上为高信号,但如果含有较多的矿物质则为低信号,无论那种软骨肿瘤中央常为低信号,增强后肿瘤呈不均一强化,较一般脑内实质性肿瘤强化显著。本例中软骨肉瘤部分亦位于前颅窝底,t1wi呈等低混杂信号,t2 wi亦呈低信号,增强后呈中度不均匀强化。
    颅内原发性平滑肌肉瘤及原发软骨肉瘤均为罕见肿瘤,需要鉴别的有恶性脑膜瘤,恶性脑膜瘤亦表现为信号不均匀、不均匀强化、囊变、坏死、肿瘤外形不规则,但常有明显的瘤周水肿。另外需要注意的是,仔细观察在个别层面可以看到两种不同成分肿瘤间有一线样低信号分隔,及分隔线内外强化模式不同,此时也应想到两种肿瘤共存的可能性。与多数脑膜来源的恶性肿瘤一样,虽然mr检查特征性改变较少,但可以确定肿瘤的发病部位、大小、范围、生长方式、与周围结构的关系,对确定肿瘤的良恶性,以及有无远处转移、局部浸润等很有价值,对肿瘤治疗方案的制定亦有一定的指导意义。
引用 余辉 2009-5-20 02:06
学习了
引用 zkc2808 2009-5-20 04:09
学习了
引用 影像孺子牛 2009-5-20 17:39
感谢楼主反馈结果,学习了。
引用 黑白光影 2009-5-21 00:26
感谢楼主反馈结果,学习了。
引用 heroin29 2009-5-21 21:01
3q
引用 tangbohu678 2009-5-22 01:22
左侧额部见一菜花状长t1、长t2不均匀信号肿块,并有颅骨的膨胀,增强病灶呈显著不均匀性强化,表早边缘欠清晰,考虑左侧额叶恶性脑膜瘤伴颅骨转移
引用 pujunzhi 2009-5-22 21:48
感谢楼主反馈结果(恶性间叶肿瘤,主要由软骨肉瘤,平滑肌肉瘤构成),学习了。
引用 天津锅巴 2009-5-23 06:13
学习了  谢谢楼主!
引用 zyx168 2009-5-23 17:46
恶性脑膜瘤伴颅骨侵犯。

查看全部评论(20)

返回顶部