手机应用
微信
微博
QQ群
普通登陆
QQ登录
找回密码
注册
登录
好友
帖子
收藏
道具
勋章
任务
搜索
搜索
文章
帖子
用户
影像医生
也能
网上问诊
了
首页
社区
BBS
新闻
读片会
影像图库
锐滴达
医影在线
›
门户
›
影像图库
›
CT病例
›
骨、关节、肌肉
›
查看内容
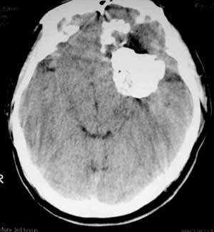
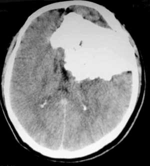
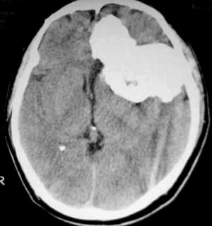
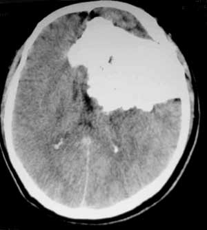
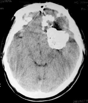
骨软骨瘤
2004-12-13 09:00
|
发布者:
张颖6606521
|
查看:
3105
|
评论: 0
男性,60岁,反复癜痫40余年。
病理结果
:
骨软骨瘤
病例来源
:ct047,由张颖6606521发布:
http://www.
radinet
.com.cn/forum_view.asp?forum_id=4&view_id=113
鲜花
握手
雷人
路过
鸡蛋
收藏
邀请
相关分类
中枢神经系统
眼、耳、鼻、副鼻窦
颌面、颈部
咽部
肺及下呼吸道
纵隔、胸膜、胸壁
食管、胃、肠道
心脏、大血管
肝、脾、胰腺
胆道系统
男性生殖系统
女性生殖系统
泌尿系统
骨、关节、肌肉
内分泌系统
腹腔、腹壁
返回顶部