手机应用
微信
微博
QQ群
普通登陆
QQ登录
找回密码
注册
登录
好友
帖子
收藏
道具
勋章
任务
搜索
搜索
文章
帖子
用户
影像医生
也能
网上问诊
了
首页
社区
BBS
新闻
读片会
影像图库
锐滴达
医影在线
›
门户
›
影像图库
›
CT病例
›
中枢神经系统
›
查看内容
慢性硬膜下血肿01
2003-9-21 08:25
|
发布者:
翁志蓬
|
查看:
3496
|
评论: 0
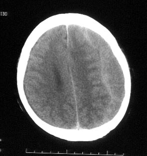
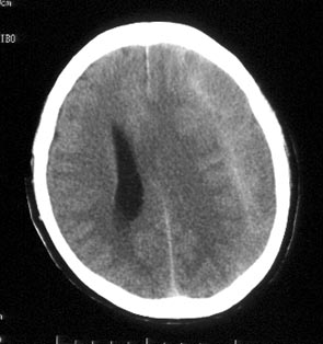
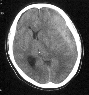
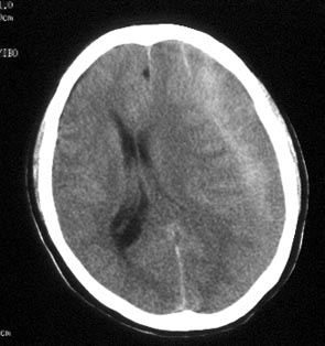
病史:男性,56岁,自觉右侧肢体肌力下降,伴麻木不适半月,逐渐加重。一个月前曾有头部轻微碰伤史,但具体经过不能回忆。
ct平扫:左额及颞顶叶见新月形略高密度血肿影,左右及前后径为2.5x12.7cm。左侧脑室受压变形右移,中线右偏约1.2cm,且密度增高,鞍上池闭塞,中脑受压变形。
ct诊断:左额、颞、顶部慢性硬膜下。
鲜花
握手
雷人
路过
鸡蛋
收藏
邀请
相关分类
中枢神经系统
眼、耳、鼻、副鼻窦
颌面、颈部
咽部
肺及下呼吸道
纵隔、胸膜、胸壁
食管、胃、肠道
心脏、大血管
肝、脾、胰腺
胆道系统
男性生殖系统
女性生殖系统
泌尿系统
骨、关节、肌肉
内分泌系统
腹腔、腹壁
返回顶部