医影在线

搜索
医影在线 门户 影像图库 CT病例 内分泌系统 查看内容

异位嗜铬细胞瘤

2004-12-31 08:57| 发布者: sxjj1024| 查看: 4621| 评论: 0

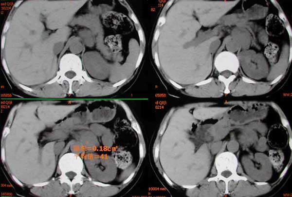
患者女,48岁,10年前右侧嗜铬细胞瘤及右肾切除术后,现血压持续增高。



yangxuedong发言:强化明显,有低密度区。因嗜铬细胞瘤有时候在病理上都难以区分良恶性,故考虑系左侧嗜铬细胞瘤。

张颖6606521发言:左肾上腺区肿块,原发?继发?若是继发性肿瘤.转移瘤.肾上腺是转移瘤的好发部位,途径可以是血行(肺癌.乳腺癌).淋巴道(肾.胰腺,胃癌),也可以是直接侵犯(肝肾癌).大部分转移瘤无临床症状.此病人不知为何做肾切除,转移瘤不能排除.原发性肿瘤又可分无功能肿瘤和功能性病变,此病人血压持续较高,可以说是功能性病变,可以为功能性腺瘤及嗜铬细胞瘤 皮质腺癌,皮质腺癌一般体积较大,可见坏死囊变,此例不符可排除,皮质腺瘤强化不如嗜铬细胞瘤强化更明显,此病例均匀明显强化,右侧有过嗜铬细胞瘤史,考虑嗜铬细胞瘤的可能性比较大.

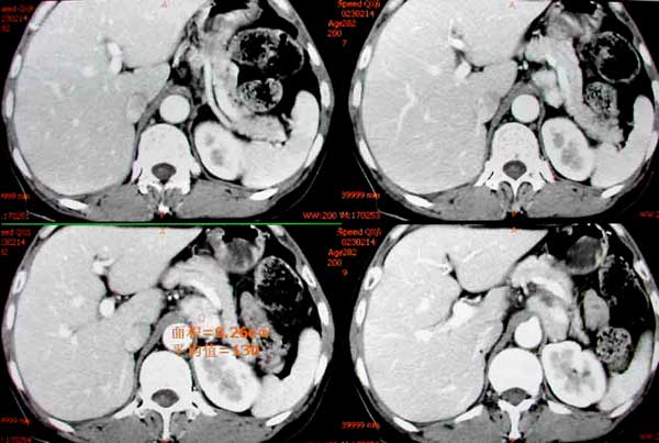
liyj000发言:结合临床和ct表现:“腹膜后腹主动脉左侧见分叶状软组织块影,边界清,明显强化”可以诊断为嗜铬细胞瘤。
定性大家一致,现在具体定位到底是什么?是肾上腺内?好象不是,有一帧图象上肾上腺受推移,但轮廓存在。所以我说不是肾上腺内的。

曼一拍发言:临床病史及影像均支持嗜铬细胞瘤。
不象是来源于左肾上腺。嗜铬细胞瘤约15%发生在肾上腺以外。

术后病理:左侧异位嗜铬细胞瘤

病例来源:ct192。由sxjj1024发布:
http://www.radinet.com.cn/forum_view.asp?forum_id=4&view_id=505

鲜花

握手

雷人

路过

鸡蛋
返回顶部