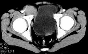
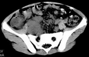
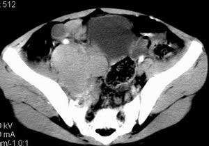
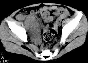
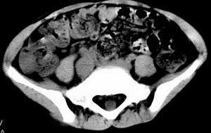
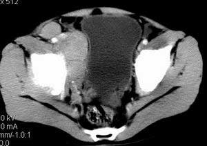
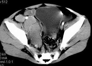
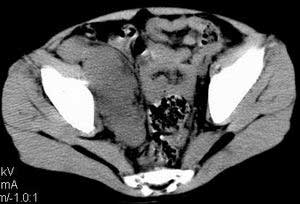
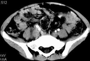
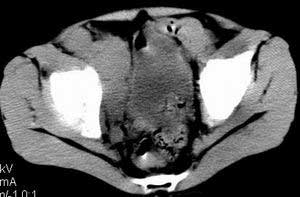
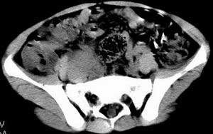
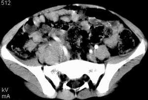
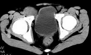
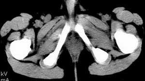
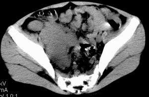
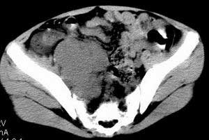
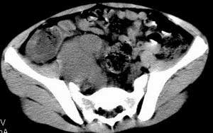
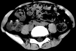
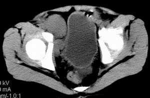
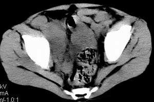
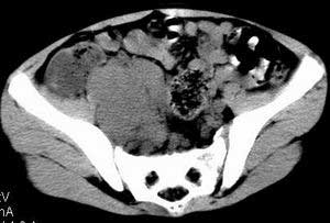
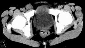
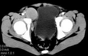
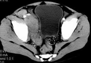
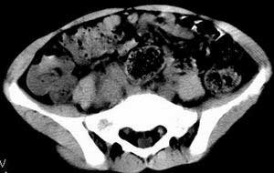
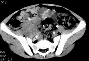
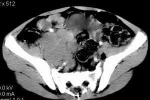
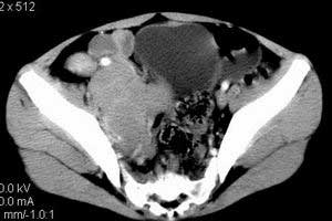
| 患者,男,9岁,因右下腹包块入院,血象不高,不规则发热,常超40度。 平扫: ![]() ![]() ![]() ![]() ![]() ![]() ![]() ![]() ![]() ![]() ![]() ![]() ![]() ![]() ![]() ![]() ![]() ![]() 增强: ![]() ![]() ![]() ![]() ![]() ![]() ![]() ![]() ![]() ![]() ![]() ![]() ![]() ![]() jiajie发言:骶椎右前区不规则软组织肿块,边缘光整,密度均匀,增强后均匀强化,右腹股沟区可见肿大淋巴结,临床有时发热,考虑淋巴瘤,儿童盆腔肿瘤应与神经母细胞瘤和横纹肌肉瘤鉴别。 longzhanghui发言:印象:盆腔右后壁不规则软组织肿块,并向前延伸.似为多个肿块融合,呈中等强化.初步考虑淋巴瘤. 听蝉观竹发言:右侧髂内、外组淋巴结肿大,从其形态和融合的情况看,同意大家意见-----考虑恶性病变,但是9岁男孩还要注意检查睾丸情况,有无隐睾? 常常类似情况是隐睾发生精原细胞瘤淋巴结转移,这个病例也要注意这一点!!! 广东凌发言:大家好,在这里我想说一下个人观点,我建议上传图片的同志能否辛苦一点就是把病史和图片都上传完整一点,比如这个病人的腹膜窗,并且这个病人的肠道的准备也是不怎么好,就从现有的质料看:病灶属于淋巴结肿大当无大的争议,有融合趋势,其内无坏死,边缘强化为主,故考虑:淋巴瘤!建议用腹膜窗看一下和肠道的关系! 阿圣发言:病灶属于淋巴结肿大当无大的争议,有融合趋势,其内无坏死,边缘强化为主,故考虑:淋巴瘤 结果是:淋巴瘤 病例来源:ct762。由宁静致远发布: http://www.radinet.com.cn/forum_view.asp?forum_id=4&view_id=2182 |