手机应用
微信
微博
QQ群
普通登陆
QQ登录
找回密码
注册
登录
好友
帖子
收藏
道具
勋章
任务
搜索
搜索
文章
帖子
用户
影像医生
也能
网上问诊
了
首页
社区
BBS
新闻
读片会
影像图库
锐滴达
医影在线
›
门户
›
影像图库
›
CT病例
›
泌尿系统
›
查看内容
肾癌01
2003-9-28 18:15
|
发布者:
翁志蓬
|
查看:
3695
|
评论: 0
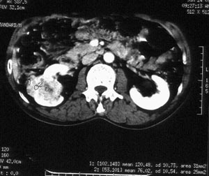
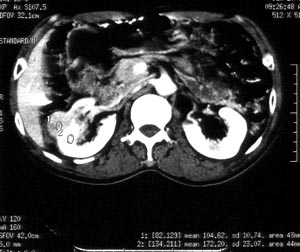
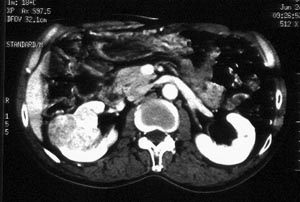
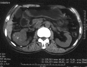
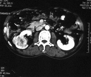
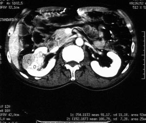
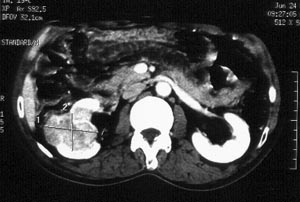
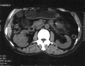
男性,56岁。右腰部不适2月。无血尿,无尿频尿急尿痛。b超提示:右肾下极占位。
ct平扫加增强扫描:右肾中下极肾盂外侧段实质见分叶状软组织密度肿块,截面大约56x45mm,向外突破肾包膜,向内突入肾盂,平扫密度略不均,ct值32-37hu。c+见病灶不均匀轻-中度强化,内有未强化坏死区。右侧肾周筋膜增厚,右肾内前方见肿大淋巴结。
ct诊断:右肾癌,ct表现见上述,伴同侧腹膜后淋巴结转移。
手术所见:右肾大小15x7cm,背侧有肿物突出肾包膜,大小7x4cm。行“右肾癌根治术”。
手术病理:
透明细胞癌(ⅰ-ⅱ级)
鲜花
握手
雷人
路过
鸡蛋
收藏
邀请
上一篇:
肾癌02
下一篇:
膀胱癌02
相关分类
中枢神经系统
眼、耳、鼻、副鼻窦
颌面、颈部
咽部
肺及下呼吸道
纵隔、胸膜、胸壁
食管、胃、肠道
心脏、大血管
肝、脾、胰腺
胆道系统
男性生殖系统
女性生殖系统
泌尿系统
骨、关节、肌肉
内分泌系统
腹腔、腹壁
返回顶部