手机应用
微信
微博
QQ群
普通登陆
QQ登录
找回密码
注册
登录
好友
帖子
收藏
道具
勋章
任务
搜索
搜索
文章
帖子
用户
影像医生
也能
网上问诊
了
首页
社区
BBS
新闻
读片会
影像图库
锐滴达
医影在线
›
门户
›
影像图库
›
CT病例
›
中枢神经系统
›
查看内容
蛛网膜下腔出血01
2003-9-28 18:21
|
发布者:
翁志蓬
|
查看:
4070
|
评论: 0
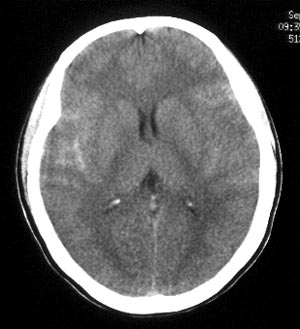
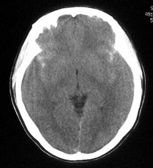
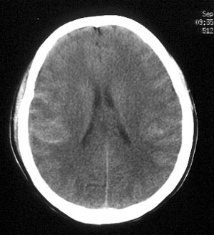
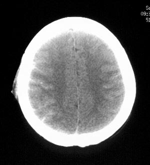
女性,36岁。头部外伤半小时,现觉头痛,有呕吐,无昏迷。
ct平扫:双侧脑沟、脑裂见密度增高,双侧大脑半球及颅后窝脑实质未见异常密度改变。
ct诊断:蛛网膜下腔出血。
鲜花
握手
雷人
路过
鸡蛋
收藏
邀请
相关分类
中枢神经系统
眼、耳、鼻、副鼻窦
颌面、颈部
咽部
肺及下呼吸道
纵隔、胸膜、胸壁
食管、胃、肠道
心脏、大血管
肝、脾、胰腺
胆道系统
男性生殖系统
女性生殖系统
泌尿系统
骨、关节、肌肉
内分泌系统
腹腔、腹壁
返回顶部