手机应用
微信
微博
QQ群
普通登陆
QQ登录
找回密码
注册
登录
好友
帖子
收藏
道具
勋章
任务
搜索
搜索
文章
帖子
用户
影像医生
也能
网上问诊
了
首页
社区
BBS
新闻
读片会
影像图库
锐滴达
医影在线
›
门户
›
影像图库
›
CT病例
›
食管、胃、肠道
›
查看内容
十二指肠炎
2005-5-18 07:59
|
发布者:
caihe
|
查看:
4003
|
评论: 0
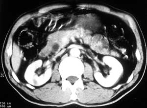
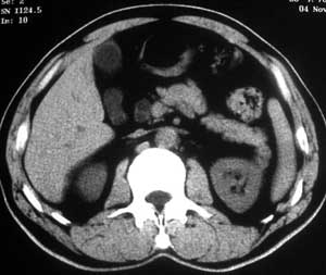
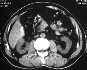
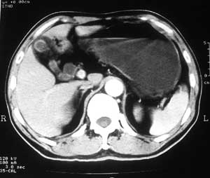
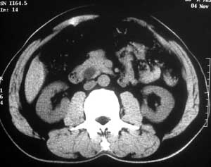
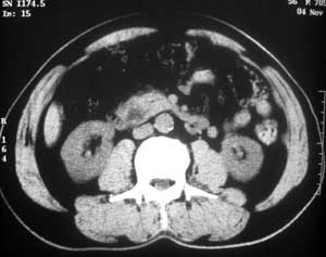
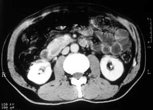
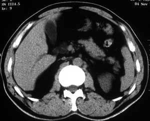
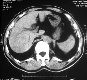
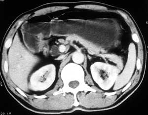
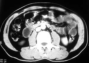
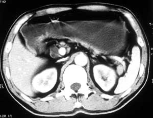
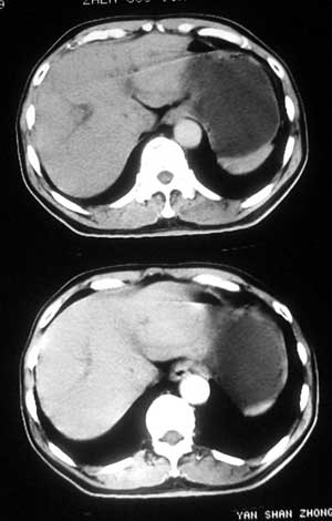
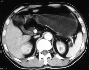
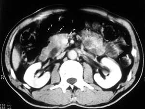
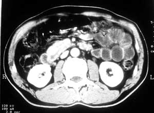
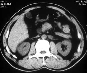
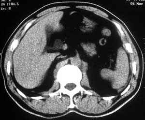
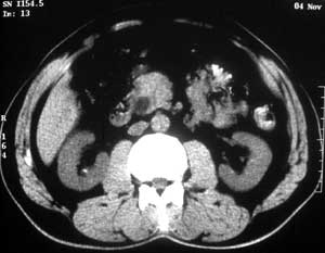
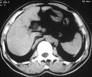
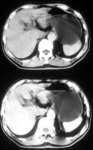
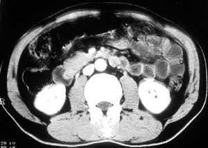
患者,男,57岁,梗阻性黄疸10余天。
听蝉观竹发言
:
这个病例胰头无明显增大,胆总管扩张明显而肝内胆管扩张更不明显,病程较短,
注意到十二指肠乳头明显突出,但尚光滑。分析以下可能性:
1、十二指肠乳头本身的病变,如乳头炎症;
2、急性乳头水肿,胆总管下端结石排石后乳头水肿;
3、壶腹部胆总管下端肿瘤累及十二指肠乳头。
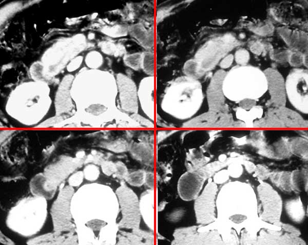
病理结果
:
十二指肠乳头粘膜慢性非特异性炎症
病例来源
:ct0993,由
caihe
发布:
http://www.
radinet
.com.cn/forum_view.asp?forum_id=4&view_id=2936
鲜花
握手
雷人
路过
鸡蛋
收藏
邀请
相关分类
中枢神经系统
眼、耳、鼻、副鼻窦
颌面、颈部
咽部
肺及下呼吸道
纵隔、胸膜、胸壁
食管、胃、肠道
心脏、大血管
肝、脾、胰腺
胆道系统
男性生殖系统
女性生殖系统
泌尿系统
骨、关节、肌肉
内分泌系统
腹腔、腹壁
返回顶部